Invisalign & 6 Month Smiles

Call Before April 14th For a Free consult

Book a free consult


Straight Teeth in 6 months

Low Fixed Cost - $5000 for braces/$6900 for Invisalign

Free Orthodontic Consulation

Payment Plans available



ABOUT

Jack and Angela are dedicated to providing high quality care for their patients in a warm family environment. They are dedicated to ensuring you have a variety of options for your dental health and this is carefully explained in a relaxed setting.

With over 35 years combined experience and a commitment to spending countless hours each year on dental education, you know you are in good hands.

It is our mission to educate and provide our patients with the best dental care in Adelaide. For that reason, we've designed this website to provide you with all of the important information you need to make healthy decisions about your teeth and gums.

We encourage you to browse our office page, service details and patient education library whenever you have a question about our practice or your oral health.

Has the thought of 2 years of metal braces stopped you from having a straight smile? Six Month Smiles is a fantastic way to straighten your front teeth in 6 months or less with tooth coloured braces. Dr Jack has treated hundreds of Adelaide patients with Six Month Smiles to straighten smiles in only 6 months.

Get more info

Don't miss out, call before April 14th to book a free in person consultation



​​​​​​​

Have you been confused about what you could do to get a straight smile and what the total cost would be?



Helping people understand their mouth and how to improve it within their budget is a very important part of our business.


Our payment plans are simple and work with almost any budget. If you have any questions please just ask.


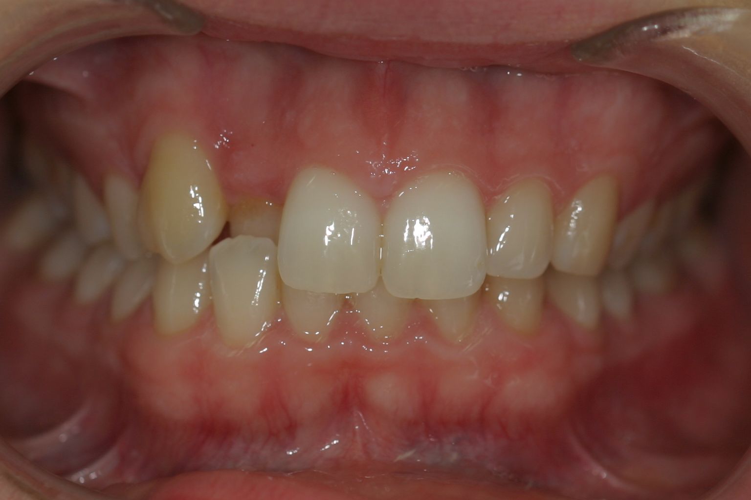
SIx month smiles results


Finished In 6 Months

      

Finished In 6 Months

     


Book a free consult

Call Before April 14th for a free consult




TESTIMONIALS

Brooke Emerson -      

"I went to many orthodontic practices for quotes for braces, 2 of which I even left in tears. As soon as I met Jack and his staff I knew I was in comfortable safe hands. I could not recommend Cumberland Dental more. Their customer service is outstanding as well as the results"

Lin Milward -      

"Awesome friendly staff that go above & beyond to give you the very best of service & make you feel comfortable"

Nicky Gonis­Fowler -      

"Friendly and very helpful staff. Would recommend to anyone being a certified 6 month smile orthodontic practice"

WE ARE LOCATED AT

376 goodwood Rd Cumberland Park  5041​​​​​​​